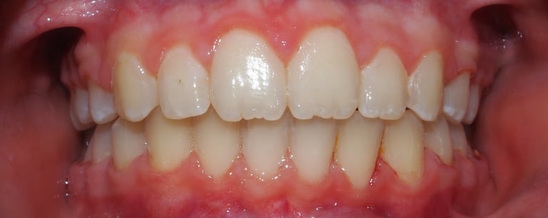
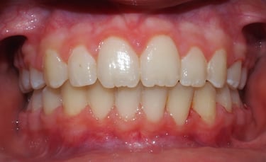
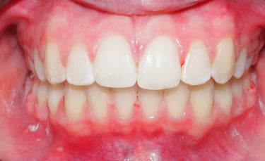
Before & After Orthodontic Results
At Dr Peter Scott & Associates, we are committed to creating healthy, confident smiles that last a lifetime. Our Before & After Gallery showcases real patients and real results achieved using a range of orthodontic treatments tailored to individual needs. Every smile tells a story and here are just a few examples of how specialist orthodontic care can transform both function and appearance.
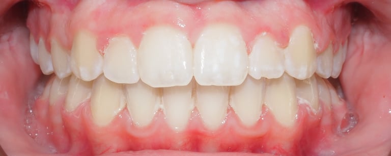
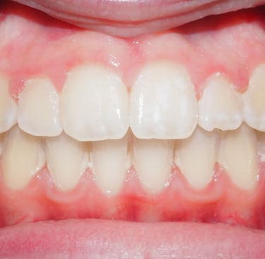
Fixed Herbst Appliance & Full Upper and Lower Braces
This treatment is ideal for patients with significant bite discrepancies, particularly when the lower jaw needs forward guidance.




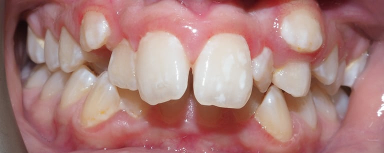
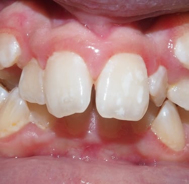
Palatal Expansion & Protraction Face Mask Treatment
Designed mainly for growing patients, this approach addresses skeletal issues early and encourages the upper jaw to develop correctly.








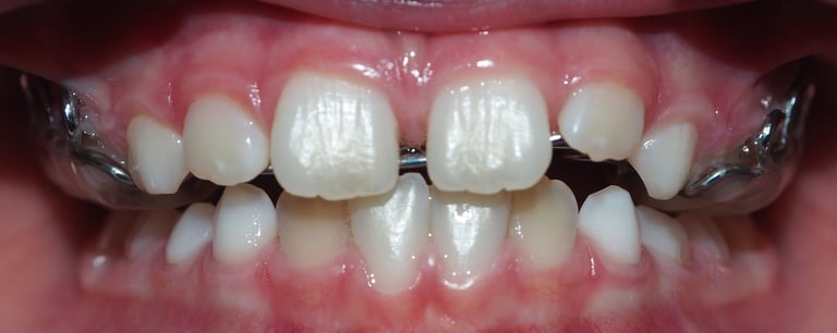
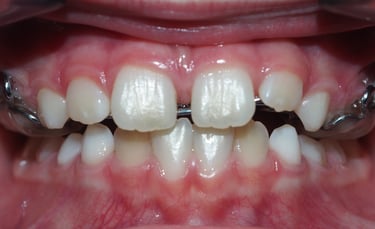
Removable Functional Appliance Followed by Braces
This two-stage treatment guides jaw growth first, then perfects alignment with braces.




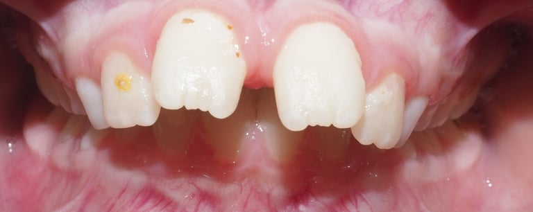
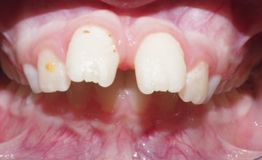
Removable Functional Appliance & Braces
A versatile combination suitable for many young teens and growing patients.








